Центральная серозная хориоретинопатия (ЦСХ, ЦСХРП) — это заболевание сетчатки, при котором под центральную область сетчатки (макулу) просачивается жидкость из сосудистой оболочки, что приводит к её серозной отслойке и искажению центрального зрения. Чаще всего патология встречается у людей трудоспособного возраста и нередко связывается с хроническим стрессом и повышенным уровнем кортикостероидов в организме. На https://www.konovalov-eye-center.ru/info-for-patient/articles/tsentralnaya-seroznaya-khorioretinopatiya/ можно узнать о заболивании и его лечении.
Причины и факторы риска
В основе заболевания лежит нарушение проницаемости сосудов сосудистой оболочки и дефект пигментного эпителия сетчатки, через который жидкость фильтруется под нейросенсорную сетчатку. К факторам риска относят длительные стрессовые нагрузки, приём системных или местных кортикостероидов, артериальную гипертензию, синдром «менеджера» (интенсивный график, недосыпание, эмоциональное напряжение). Также описана связь ЦСХ с мужским полом, возрастом 20–60 лет и определёнными особенностями гормонального фона, в том числе повышенной активностью кортизола.Симптомы центральной серозной хориоретинопатии
Заболевание обычно развивается остро: человек внезапно замечает пятно или «помутнение» в центре поля зрения одного глаза. Типичны жалобы на сероватое или желтоватое пятно перед глазом, снижение остроты зрения, искажение формы предметов (метаморфопсии) и ощущение, что изображение стало уменьшенным или «отодвинулось». Прямые линии кажутся изогнутыми, буквы — деформированными, а цвета — менее насыщенными, нередко появляется лёгкая вновь возникшая дальнозоркость.
При взгляде на объект центральная часть изображения как бы «проваливается», может наблюдаться центральная скотома — участок выпадения поля зрения. При этом боли, покраснения и выраженного воспаления, как правило, нет, а периферическое зрение остается относительно сохранным. У части пациентов симптомы постепенно уменьшаются в течение нескольких недель или месяцев, у других же заболевание приобретает хроническое или рецидивирующее течение.
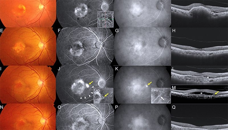
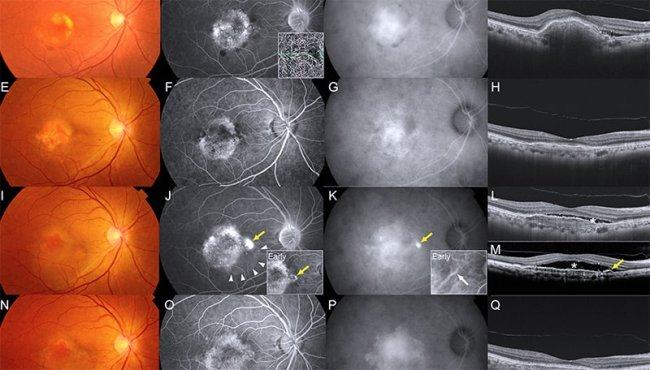
Диагностика заболевания
Диагностика ЦСХ основана на сочетании жалоб и данных инструментальных исследований. Проводят проверку остроты зрения, офтальмоскопию, оптическую когерентную томографию (ОКТ), позволяющую визуализировать серозную отслойку нейроэпителия и оценить толщину макулы. Важную роль играет флуоресцентная ангиография, с помощью которой выявляют точку утечки (leakage) и дефекты пигментного эпителия.
Лечение и тактика ведения
При острой форме центральной серозной хориоретинопатии во многих случаях выбирают выжидательно-наблюдательную тактику, поскольку заболевание может самостоятельно регрессировать, а зрение — частично или полностью восстановиться в течение 1–6 месяцев. На этом фоне рекомендуют минимизировать стресс, по возможности отменить или снизить дозу кортикостероидных препаратов и нормализовать режим сна и нагрузки. Консервативное лечение включает сосудоукрепляющие средства, дегидратационную терапию (в том числе с использованием диуретиков), антигистаминные препараты, а также витаминные комплексы для улучшения трофики сетчатки.
Если отслойка и снижение зрения сохраняются или заболевание носит хронический характер, применяются активные методы лечения. «Золотым стандартом» считается фокальная лазерная коагуляция в зоне утечки жидкости, расположенной на безопасном расстоянии от фовеа, что позволяет «закрыть» дефект пигментного эпителия и уменьшить отёк. При локализации очага близко к центральной ямке и при хронических формах используют фотодинамическую терапию с введением светочувствительного препарата и последующей лазерной активацией, а также субпороговое микроимпульсное лазерное воздействие.
Прогноз и профилактические рекомендации
В большинстве случаев острая ЦСХ имеет благоприятный прогноз: отёк постепенно рассасывается, а зрение частично или полностью восстанавливается. Однако возможны рецидивы и переход в хроническую форму, сопровождающиеся стойким снижением центрального зрения и истончением сетчатки. Для снижения риска повторных эпизодов важно контролировать стресс, следить за артериальным давлением, избегать бесконтрольного приёма кортикостероидов и регулярно наблюдаться у офтальмолога при появлении любых искажений центрального зрения.
